審美インプラント
ジルコニアを用いたオールセラミックス
インプラントは1965年から用いられてきています。
毎年、非常に速いスピードで研究が進んでいます。開発当初は機能するかどうかというところからのスタートでしたが、今ではいかに自分の歯と同じように仕上げるか、という審美インプラントが盛んに行われています。
人の身体において「きれい」ということと、「健康である」ことは表裏一体のものであり、特に歯においてその美しさは、機能美であることが多いと考えられます。様々な機械や車、電車なども力学的に考えられ、効率良い設計をされた場合に同時に美しさを併せ持ってしまうことに気づくことがあります。だからこそ近年 審美歯科の需要が高まっているのです。また2007年より日本でも認可されたジルコニアを用いたオールセラミックスの上部構造は見た目でも大きな進歩をとげました。
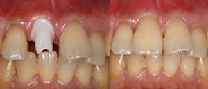
従来のメタルボンドとジルコニアを用いたオールセラミックスとの比較例
患者さんに協力してもらい、実際に2種類の物を製作して見比べてみました。
明らかな差があるのが、皆さんにも分かると思います。
従来のメタルボンドと呼ばれる金属を用いてその上にセラミックスをコーティングしたものです。
歯ぐきとの境目を見て頂くと若干、金属が透けているのが分かると思います。
ジルコニアを用いたオールセラミックスです。
歯ぐきとの境目がとても自然な色合いなのが分かると思います。
※どちらも同じ人に同じ時期にセットして撮影したものです。
ハイブリッドとオールセラミックスとの比較例
次に8本の連続した上部構造の場合です。連続したオールセラミックスもジルコニアの認可で作製できるようになりました。
金属にハイブリッド(セラミックスとプラスチックの混合物)をコーティングしたものとジルコニアを用いたオールセラミックスを比較してみます。
どちらも3か月程使用していただき比較してみました。
左上がジルコニアを使ったオールセラミックスの上部構造で、右上が金属にハイブリッドをコーティングしたものです。どちらも3か月程使用したものですが、ハイブリッドは着色が付いてくるのが気になります。
Copyright© インプラント専門医認定基準 - IDCインプラント研究会
